
Oltre 40 anni di esperienza in implantologia avanzata
• TAC 3D in sede • Pianificazione digitale • Carico immediato
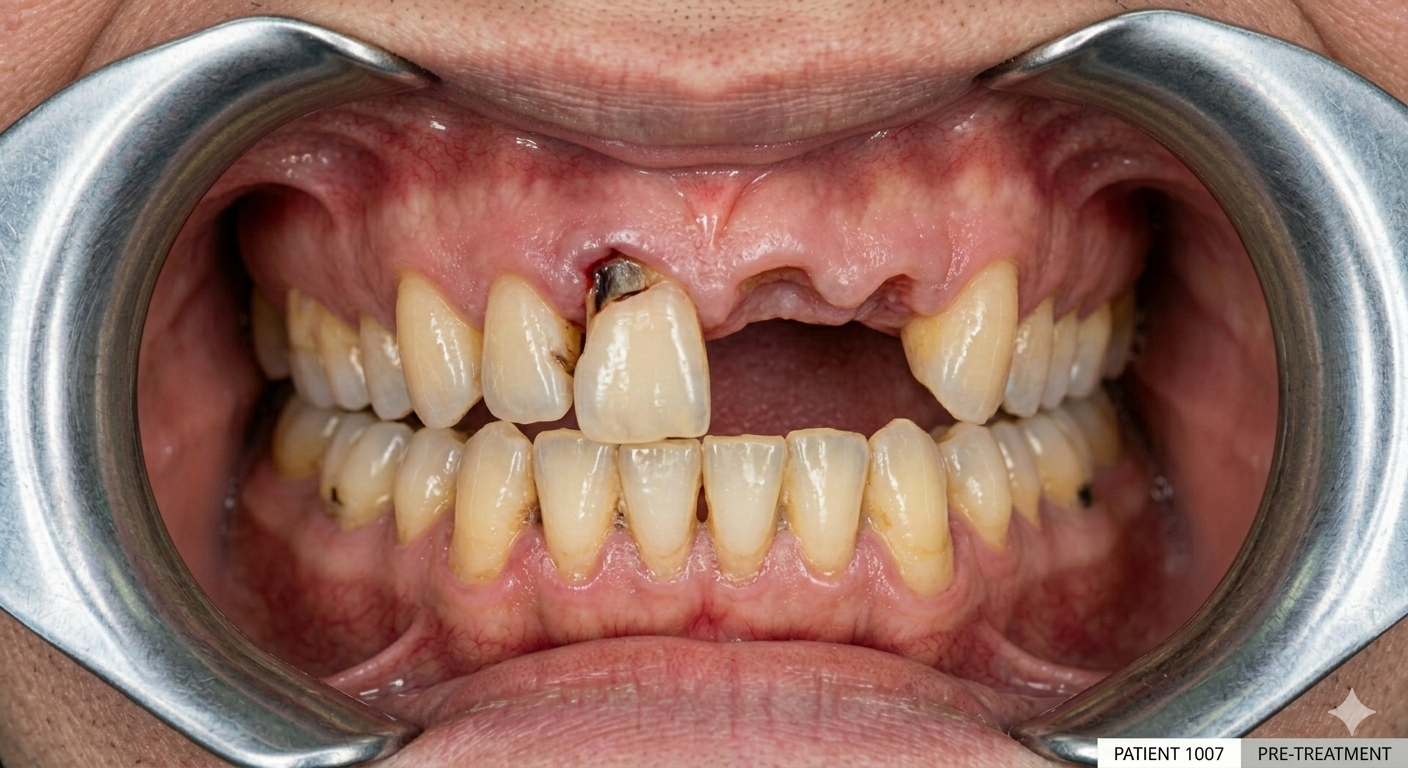
La mancanza di denti può compromettere masticazione, estetica e sicurezza.
L’implantologia consente di sostituire uno o più denti con soluzioni fisse stabili e naturali.
Valutazione implantare personalizzata con il Dott. Filippo Macrì.
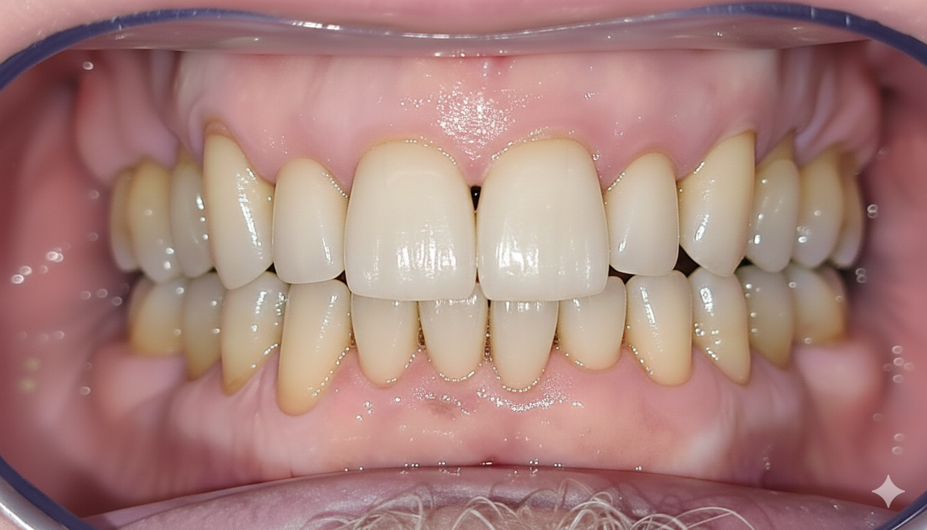
Torna a sorridere con denti fissi e naturali, anche se hai perso uno o più denti!
Nessun dolore
Anestesia Locale
Tempi di recupero rapidi
Soluzione anche con poco osso
Perdere uno o più denti non è solo un problema estetico.
Può influire sulla sicurezza personale, sulla masticazione e sulla qualità della vita.
Ma soprattutto… può peggiorare nel tempo.
• Hai perso uno o più denti e non sai quale soluzione scegliere?
• Porti una protesi mobile che si muove o ti crea disagio?
• Eviti di sorridere nelle foto?
• Fai fatica a mangiare cibi duri?
• Hai paura che la situazione diventi più complessa col passare dei mesi?
Ignorare il problema non lo risolve.
Oggi l’implantologia permette di tornare ad avere denti fissi, stabili e dall’aspetto naturale.
Il primo passo è capire qual è la soluzione più adatta al tuo caso.
Alcuni dei nostri lavori






Piano di trattamento personalizzato per ogni paziente
Utilizzo di tecnologie all’avanguardia - TAC 3D, Carico Immediato, Pianificazione Digitale
Assistenza completa dal primo appuntamento al post-trattamento
Ogni sorriso racconta una storia. Che sia per ritrovare sicurezza, migliorare la masticazione o semplicemente sentirsi meglio con sé stessi, siamo qui per aiutarti a scrivere il tuo prossimo capitolo
Un percorso chiaro, spiegato in ogni dettaglio prima di iniziare.
Ogni anno molte persone continuano a convivere con denti mancanti, protesi instabili o dolore…
solo perché pensano che una riabilitazione su impianti sia “troppo costosa”.
Spesso non è così.
La realtà è che oggi è possibile pianificare una riabilitazione completa con soluzioni economiche personalizzate, valutate caso per caso.
Il problema è che rimandare non abbassa il costo.
Lo aumenta.
Più si aspetta, più la situazione può peggiorare, rendendo l’intervento più complesso.
Durante la visita analizziamo:
La tua situazione clinica reale
La soluzione più adatta
Una pianificazione economica sostenibile
Non devi decidere oggi.
Devi solo informarti.
Alcune delle recensioni dello Studio YesDent del dott. Filippo Macrì
Dopo anni con una protesi mobile che mi creava disagio continuo, ho deciso di fare l’All-on-4. È stata la scelta migliore della mia vita. Oggi mangio senza problemi e sorrido senza imbarazzo. Mi sono sentito seguito in ogni fase.
Avevo paura dell’intervento, ma il percorso è stato spiegato con chiarezza fin dall’inizio. Nessuna sorpresa, solo professionalità e attenzione. Il risultato è naturale e stabile. Lo rifarei senza esitazioni.
Mi mancavano quasi tutti i denti dell’arcata superiore. Con la riabilitazione su 6 impianti ho finalmente denti fissi e solidi. Non mi vergogno più di sorridere e posso mangiare tutto. Consiglio a chiunque abbia il mio stesso problema.
Pensavo fosse solo un trattamento estetico, invece è stata una vera trasformazione funzionale. Posso masticare bene e parlare senza paura che si muova qualcosa. Grande professionalità e disponibilità.
Dopo aver fatto diversi preventivi, ho scelto questo studio per la chiarezza e la sensazione di sicurezza che mi hanno trasmesso. Mi hanno spiegato tutto nel dettaglio, anche dal punto di vista economico. Oggi ho un sorriso stabile e naturale.
Avevo rimandato per paura e per dubbi sui costi. In realtà il percorso è stato organizzato in modo molto preciso e con possibilità di pagamento personalizzate. Il risultato è oltre le aspettative.
Hai dubbi? Ecco le risposte alle domande più comuni
Il tuo nuovo sorriso è a portata di mano. Prenota ora la tua consulenza gratuita e scopri come possiamo aiutarti a tornare a sorridere, senza dolore e in tempi rapidi.
Telefono: 035 958541
©2026, Tutti i Diritti sono Riservati Studio Dentistico YesDent